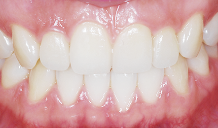
심미치료는 치아모양이 불규칙한 경우, 치아에 틈새가 벌어진
경우, 치아의 변색이 있는 경우 등 다양한 인공물로 자연치아를
보존하면서 형태를 바로잡는 치료
치료 전
치료 후
치료 전
치료 후

치아가 없는 부분을 의치, 즉 입 안에 넣고 뺄 수 있는 보정물로
치아의 기능을 대신하는 것이 틀니입니다.
부분틀니
무구개틀니
보험틀니